ادعم المرضى

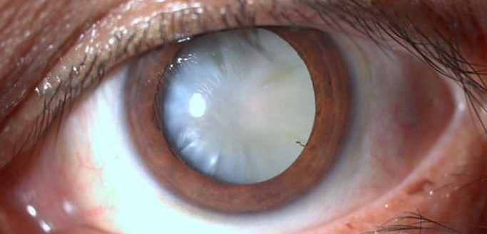
مياه بيضاء بالعين اليسرى ن م ب

مُسنة تبلغ من العمر 70 عاماً ، مقيمة  وتسكن مع اسرتها  ذات الدخل المحدود جداً فليس لديها تغطية علاجية ، تعاني من مياه بيضاء بالعين اليسرى و تحتاج لإجراء عملية لإزالتها  مع فحوصات تبلغ التكلفه 12500 ريال و تضاف إليها النسبة التشغيليه 10% تصبح التكلفة الاجمالية 13750  ريال, وهي  تنتظر دعمكم في تخفيف معاناتها وتوفير العلاج و يكون لها شفاء- بإذن الله 

الاخصائية الاجتماعية خلود.

( تم العلاج من خارج الجمعيه بتاريخ 15 يوليو 2025 ) أ : عزه
تمت